診療のご案内

Medical department

内科

診療内容

内科全般について、例えば風邪や生活習慣病(高血圧、高脂血症、糖尿病、動脈硬化症)など、適切な診断・治療・アドバイスをいたします。

様々な疾患の原因・診断・治療の十分な説明はもちろんのこと、皆様の体質や生活習慣等を踏まえ、より健康的な暮らしができるようお手伝いさせていただきます。

病気のことだけでなく、健康上の些細な心配事でも遠慮なくお尋ねください。 詳しい説明と誠意を持った対応をさせていただきます。皆様方に安心して信頼される“かかりつけ医”を目指し、地域に根付いた医療に貢献していきたいと考えています。

【サーモカメラ】【陰圧機】【発熱用個室】【ピュアウォッシャー】等、感染対策設備の充実、また、ドライブスルー診療やオンライン診療も対応、利便性も兼ね安全運営に努めております!

消化器内科

当院の消化器内科では、食道・胃・腸・肝臓・胆のう・膵臓などの消化器疾患を専門的に診療しています。最新の診断技術と治療法を用い、患者さま一人ひとりに最適な医療を提供することを目指しています。

消化器疾患は早期診断・早期治療が重要です。

以下のような症状がある方は、お気軽にご相談ください。

胃もたれ、胸やけ、呑酸が続く

腹痛や下痢・便秘が慢性的に続く

血便や黒い便が出る

食欲不振や体重減少がある

黄疸(皮膚や白目が黄色くなる)

 

当院の上田医師は経鼻内視鏡検査を1万件以上経験され、特に苦痛を少なく経鼻内視鏡検査を実施することに特化しています。普段は見ることができない体の中の様子を、内視鏡の先端部に搭載された小型カメラを介してモニターに映し出すことで、医師が直接目で見ることができます。ご心配な点がございましたら一度当院にご相談ください。

リウマチ膠原病科

当院のリウマチ膠原病科では、関節リウマチや全身性エリテマトーデス(SLE)、強皮症、シェーグレン症候群などの自己免疫疾患を専門的に診療しています。最新の治療法を取り入れ、患者さま一人ひとりに最適な治療を提供することを目指しています。

必要に応じリハビリテーション科と連携を図り、関節機能の維持・改善を目指します。

リウマチ・膠原病は早期診断・早期治療が重要です。

以下のような症状がある方は、お気軽にご相談ください。

関節の腫れや痛みが続く

朝のこわばりが長時間続く

皮膚の発疹、レイノー現象(指先が白くなる)

発熱や倦怠感が続く

リハビリテーション科

診療内容

当院のリハビリテーション科では、病気やけが、加齢による身体機能の低下に対し、患者さま一人ひとりの状態に応じた適切なリハビリを提供しています。理学療法・作業療法・言語聴覚療法を組み合わせ、機能回復や日常生活動作(ADL)の向上を目指します。

・外来リハビリテーション

外来リハビリでは、通院しながら継続的にリハビリを行います。主に脳卒中後遺症や整形外科疾患、術後リハビリ、慢性疾患による運動機能低下などに対応し、患者さまの生活環境に合わせたプログラムを提供します。運動機能改善だけでなく、職場復帰や趣味活動の再開など、生活の質(QOL)の向上を目指します。また、予約制で待ち時間を短縮し、効率的にリハビリを受けられる体制を整えています。

・入院リハビリテーション

入院リハビリでは、脳卒中や骨折後の身体機能の低下に伴った症状を中心に、リハビリを提供します。リハビリを開始し、患者さまの早期回復と自宅復帰を支援します。リハビリ専門スタッフが多職種と連携し、個々の目標に合わせたリハビリ計画を立案し、患者様の機能回復を最大限に引き出します。また、退院後の生活に向けた指導や、外来リハビリへの移行支援も行います。

患者さまが安心してリハビリを受けられるよう、丁寧な対応を心がけています。ご不明な点があれば、お気軽にご相談ください。

リハビリテーションの内容

  • 脳血管疾患等リハビリテーション

    脳血管リハビリテーションは、脳卒中(脳梗塞・脳出血・くも膜下出血)や脳外傷、パーキンソン病などの神経疾患による後遺症に対し、機能回復を目指すリハビリテーションです。発症後、早期からリハビリを開始することで、麻痺や筋力低下、感覚障害、日常生活動作(ADL)の向上を支援し、患者さまの自立をサポートします。

  • 運動器リハビリテーション

    運動器リハビリテーションは、骨折、変形性関節症、脊椎疾患、靭帯損傷、関節リウマチなどの整形外科的疾患や、加齢に伴う運動機能の低下に対し、身体の機能回復を目指すリハビリテーションです。理学療法を中心に、関節可動域訓練や筋力強化、バランス訓練を行い、歩行や日常動作の改善を図ります。また、スポーツ外傷や術後のリハビリにも対応し、競技復帰や生活の質(QOL)の向上を支援します。患者さまの状態に応じた個別プログラムを提供し、安全かつ効果的なリハビリを行います。

media-25

※リハビリテーションを受けるためには医師の診断・指示が必要となります。
 現在リハビリテーションを受けることを希望されるものの、どのようにしたらよいのかわからないという方も是非一度ご相談ください。

理学療法

理学療法は、病気やけが、高齢による身体機能の低下に対して、運動療法や物理療法を用いて機能回復を図るリハビリテーションの一分野です。主に歩行や立ち上がり、姿勢の改善など、日常生活に必要な基本動作の向上を目的とします。筋力や柔軟性、バランス能力の向上を図りながら、患者さまの自立した生活を支援します。また、痛みの軽減や関節可動域の改善を目指す治療も行います。医師の指示のもと、理学療法士が個々の状態に合わせた適切なプログラムを提供し、生活の質(QOL)向上をサポートします。

作業療法

作業療法は、身体や心の障害を持つ方が日常生活を円滑に送れるよう支援するリハビリテーションの一つです。食事や着替え、家事、仕事、趣味活動など、生活に密着した動作の訓練を行い、より自立した生活を目指します。また、精神的なケアも重要な役割を担い、認知症や精神疾患の方への支援も行います。作業療法士は、患者さま一人ひとりの目標に合わせたプログラムを立案し、身体機能の維持・向上だけでなく、生活の質を高めることを目的としたリハビリを提供します。

言語聴覚療法

言語聴覚療法は、話す・聞く・飲み込むといった「ことば」と「食べる」機能の改善を目的としたリハビリテーションです。脳卒中や神経疾患、発達障害などにより、ことばがうまく話せない(構音障害)、言葉が理解できない(失語症)、声が出にくい(音声障害)などの症状を持つ方に対し、専門的な訓練を行います。また、食事中にむせる、飲み込みにくい(嚥下障害)といった症状にも対応し、安全に食事ができるよう支援します。言語聴覚士が患者さまの状態に応じた訓練を行い、円滑なコミュニケーションや食事の楽しみを取り戻す手助けをします。

当院リハビリテーション機器

  • トレッドミル

    ベルトの上を歩いたり、走ったりできる機械です。傾斜を付けることができ、高齢者からアスリートまで利用することができます。

  • エアロバイク

    負荷設定は、脈拍一定モード、負荷一定モードなど細かく設定することが可能な自転車タイプの機械です。当院のエアロバイクは呼気ガス分析装置と連動し、負荷量を管理しながら運動負荷試験を実施することができます。

  • レッグプレス・チェストプレス

    油圧方式の筋力トレーニングマシンです。患者様の筋力に合わせた負荷の設定が可能で、負荷量・運動のペースなどを一人一人に合わせて専門スタッフが設定します。

  • 物理療法機器

    温熱治療・電気治療等、疼痛緩和などを目的に治療を実施するべく、各種機器を取り揃えております。電気治療に関しては某種目における日本代表チームも活用している即効性のある機器も導入しています。

介護保険を利用して、当院に入所された方を対象とします。
主に、身の回りのことや座る、歩くといった基本的な動作が困難となった方に、機能の維持と向上を目標に提供しています。

検査科

診療設備・当院で行える検査・予約方法

PEG(経皮内視鏡的胃瘻造設術)
カテーテル先端の留置確認および嚥下機能観察可能なポータブルマルチスコープ

今回新たにPEG(経皮内視鏡的胃瘻造設術)ポータブルマルチスコープを導入しました。
PEGとは、胃に直接栄養を供給するために小さな穴(胃瘻=いろう)をつくり、そこからカテーテルを通じて栄養剤を投与する栄養療法で、口から食事が摂れない、または飲み込むことが困難な患者に対して行われる手技です。
PEGカテーテルは数週間から数ヶ月に一度定期交換が必要になりますが、誤挿入をしないよう適切な位置にカテーテルを挿入することがきわめて重要です。
今回導入した胃ファイバースコープは、PEGカテーテルの交換時にPEGカテーテルから挿入し、胃の中の確認をすることで誤挿入を防ぎ、映像でカテーテルの留置確認をすることができます。
これにより、患者様は病棟のベッドの上でも交換することが可能になり負担が軽減されました。
また在宅でのカテーテル交換の際は、安全管理上の確認が出来るようになり、家族の安心もサポート出来るようになりました。
また今後は、高齢化社会に伴う摂食嚥下機能障害への対処法の一つとして積極的に取り組んでいきたいと考えています。

post_286-28

当院で行える検査

  • 血液検査
  • 心電図検査
  • ホルター心電図(24時間心電図)検査
  • ABI/PWV(動脈硬化検査)超音波検査(心臓・腹部・頸動脈・甲状腺等)
  • 睡眠時無呼吸症候群(SAS)検査

予約方法

一度、お電話にて健診担当までご連絡ください。
Tel:0495-21-7781
Fax:0495-71-8093
Mail:kenshin@yoshizawa-hospital.jp

放射線科

放射線科専門医が読影しております

当院では、放射線科診断専門医が撮影された画像を専門家の眼で解析・診断(読影)しでおります。

放射線科専門医とは、専門医試験に合格した先端医療の専門家です。
ドラマ「ラジエーションハウス」でも取り上げられ、注目されました。
専門領域だけでなく全身のありとあらゆる部位の解剖や疾患について幅広い知識が必要となります。
当院では放射科専門医が撮影された画像を担当医と共に読影しております。

post_286-11

診療設備

最新鋭16列マルチスライスCT

当院では、放射線科診断専門医が撮影された画像を専門家の眼で解析・診断(読影)しでおります。

放射線科専門医とは、専門医試験に合格した先端医療の専門家です。
ドラマ「ラジエーションハウス」でも取り上げられ、注目されました。
専門領域だけでなく全身のありとあらゆる部位の解剖や疾患について幅広い知識が必要となります。
当院では放射科専門医が撮影された画像を担当医と共に読影しております。

post_286-12

画像診断ワークステーション

当院の画像診断のシステムは、コニカミノルタ製の「I-PACS EX」を導入し、一般撮影・DR・CT・MRでのフィルムレス環境を実現しています。
撮影終了後は、すぐに院内ネットワーク化により診察室を始め院内6ヵ所で画像参照することが可能になりました。より環境にやさしいエコシステムとなっています。

post_286-13

オープン型MRI装置

当院では最新型オープンMRIを導入し、質の高い診断が可能になりました。
日立 AIRIS Vento 埼玉県内初導入

post_286-14

オープンMRIの特徴

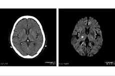
従来のMRI装置に比べ、空洞内が広く開放されたオープン型MRI装置は狭い所が苦手な方や、小さなお子様まで安心して検査を受けることが出来ます。また従来の装置に比べ、撮影中の音が小さくなりました。
※右視床にCTではみつけることの困難な梗塞部位をMR拡散強調画像では白く発見できます。(図1)
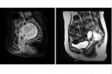
※MRIでは造影剤を使用せず血管像を撮像することができ、MRアンジオでは動脈瘤などを早期に発見できます。
※MRIの整形外科領域において最も多い検査で、描出能に優れています。
※MRIは放射線の被曝の心配がないため婦人科領域でも活躍します。

topcon trc-nw400 無散眼底カメラ

無散瞳眼底カメラは主に眼科開業医、および健診において広く使用されております。
近年の糖尿病網膜症や加齢黄斑変性の増加に伴い、眼底スクリーニングの需要はますます高まっており、当社は「誰でも簡単に眼底写真が撮れる」眼底カメラを目指してTRC-NW400を開発しました。
TRC-NW400はオートアライメント・オート撮影機能に加え、タッチパネル操作により熟練不要で簡単に眼底写真を撮影出来ます。
また、PCを必要としないスタンドアロンの使用も可能で、移動健診等にも最適です。

post_286-18

konica minolta AeroDR PREMIUM 1417hq

「AeroDR」シリーズは放射線科撮影室だけでなく、病棟回診、ICU、救急外来、手術室等様々な場面に活躍の場が広がってきました。
利用の拡大に伴い、更なる軽量化とハードユースに耐えうる性能を求める声が多くなってきています。
「AeroDR PREMIUM」は、このような要望に応えるため、女性技師でも楽に取り扱いできる軽量化と、実際の使用場面を想定した耐荷重性能と防水性を実現。

post_286-19

据置型デジタル式汎用X線透視診断装置

TOSHIBA デジタル式ニックス線診断装置

胃のバリウム検査、大腸バリウム検査、各種透視をしながらの手技のための装置です。
デジタル式のため、撮影画像をより診断しやすく調整可能です。
撮影画像はPACS(医療用画像管理システム)で管理します。

post_286-20

据置型デジタル式汎用X線診断装置

HITACHI Radnex32

放射線検査の基本である、一般撮影装置です。
胸部、腹部、全身の骨の診断に有用です。
広い部屋での撮影が患者様にもストレスが少なく、車いすの方や、ベットの上での撮影もスムーズに行えます。
AeroDRとの組み合わせにより、短時間に撮影ができ、高画質の診断画像が得られ、患者様の被爆リスクを低減することができます。

post_286-21

栄養科

診療内容

栄養科では旬の食材を使用し季節感があり、温かいものは暖かく、冷たいものは冷たく、美味しい食事を提供することを心がけております。

病院の食事は、病気の治療・療養の一環として重要な位置づけでの提供となりますので、患者さまの病状・身体状況・嗜好・投薬の種類等を考慮する必要があり、医師・薬剤師・看護師・管理栄養士がチームとなり栄養面のサポートを行っています。
私たち管理栄養士はできる限りベッドサイドに訪問し患者さま一人一人の状況を把握するとともに患者さま・ご家族さまの要望・質問等にお応えしております。

食事の種類は大きく分けると一般食と治療食に分類されます。
さらに、嚥下状態に合わせてきざみ具合・トロミ加減を調整し、食べやすい食事を提供しています。

  • 一般食とは

    エネルギー・栄養成分等に制限のない食事です。

  • 治療食とは

    糖尿病のエネルギー制限食をはじめ、高血圧症、腎臓疾患、肝臓疾患、脂質異常症、胃潰瘍等の治療を目的とした食事となり、食事内容は患者さまの病状にあわせた食事です。

栄養指導

食事療法を必要とされている患者さまに対し、管理栄養士による個別の栄養指導を実施しています。栄養指導では、食生活・食習慣の問題点をみつけ、適切にアドバイスいたします。
今までの食習慣を否定するのではなく、良い方向へ導くため無理なく長く続けることのできる食事についてお話させていただきます。
栄養指導を希望される場合は、医師・看護師にご相談ください。

行事・イベント食

お正月や端午の節句、ひな祭り、敬老の日、クリスマス等の行事では、普段の食事とは違う特別メニューで食事を楽しんでいただきます。

薬剤部

業務内容

吉沢病院では、寿会十訓を基に患者様が安心して治療を受けることができるように薬剤を通じて医療を行って参ります。

外来、入院とも心を込めてお薬の調合をし、入院の患者様に対しては、患者様が飲まれているお薬について調べ、ベッドサイドで薬の飲み方や薬効・副作用などの説明をさせていただき、また患者様からの質問にお答えし、納得のいく薬物治療をサポートしています。また外来患者様におかれましても、あらゆる質問や相談にも応じております。

安全に使用されるための処方内容のチェックを行い、医師、看護師との連携、情報提供を行っています。

業務紹介

調剤業務

当病院では入院患者様の薬の調剤が主な業務です。医師の処方箋を基に、患者様に何が最適であるかを考え、用法・用量、服用方法、相互作用を確認し調剤を行っております。

また、最新鋭の自動分包機を採用し効率的に一包化を行っています。

医薬品情報

医薬品が適切に使用されるように医師、看護師、医療スタッフに情報を精査し提供しています。

注射剤調剤

注射剤の配合変化、薬剤量、薬剤の適応などを確認しながら個人毎に注射薬トレーにセットします。

医薬品管理

医薬品の在庫並びに品質管理を行っています。

薬剤管理指導

入院患者様に安全で適切な薬物治療を受けて頂けるように、主治医の依頼により薬に関する指導や説明、相談をしています。

チーム医療

医師、看護師、検査技師、他の医療スタッフと共にチームを作り、院内感染対策等に取り組んでいます。

昨今の新型コロナウイルスをはじめ、院内クラスターを起こさないよう、最大限に感染予防に努めております。

無料低額診療のご案内

医療費のお支払いでお困りの方はご相談ください

吉沢病院では、医療が必要にもかかわらず、生活困窮を理由に医療費の支払いが困難な方に対し、医療費の減額または免除を行なう「無料低額診療事業」を実施しています。
深谷・本庄地域での実施は、当院が初でございます。
無料低額診療事業は、生計困難な方が経済的理由によって、必要な医療を受ける機会を制限されることのないよう、無料または低額な料金で診療を行う事業として、社会福祉法第2条第3項に位置づけられているものです。

医療費の支払いが困難な方はご相談ください!

  • まずは受付で職員にお声かけください。相談員(ソーシャルワーカ-)が病状や生活の状況を伺います。
    今後について公的な制度の活用も含め、問題解決に向けて相談を行います。
  • 対象となる方については、医療費の自己負担が免除または減額されます。

この制度は生活が改善するまでの一定期間の利用ですので、社会資源の活用などで一緒に健康と生活を立て直していきます。
制度が適用とならない場合でも、医療費の支払いの他、当面の生活などについて一緒に打開の道を探すようにご相談に応じます。